[진행과정]
첫번째 방문(시험관 시작 1일차)
- 시험관 시술을 위한 난소검사(초음파)/피검사/심전도검사 진행
- 고날에프 (난포 성장 촉진 주사) 900IU 처방
두번째 방문 (시험관 시작 5일차)
- 초음파로 난포 개수 확인
- 추가 주사 처방 : 고날에프 900IU, 세트로타이드 3회분
세번째 방문 (시험관 시작 8일차)
- 초음파로 난포 크기/개수 확인 → 난자 채취일 확정
- 피 검사
- 추가 주사 처방 : 고날에프 450IU, 세트로타이드 3회분, 오비드렐 1회분, 데카펩틸 1회분
- 약 처방 : 항생제 6회분
네번째 방문 (시험관 시작 12일차)
- 난자/정자 채취
다섯번째 방문 (시험관 시작 19일차)
- 동결 비용 정산, 아르기닌(영양제) 처방
여섯번째 방문 (시험관 시작 27일차)
- 자궁 상태 확인, 동결배아 이식을 위한 약처방&주사, 채혈
일곱번째 방문 (시험관 시작 34일차)
- 자궁 내막 두께 확인, 아르기닌 수액, 약처방, 채혈
여덟번째 방문 (시험관 시작 41일차)
- 동결이식 1차
아홉번째 방문 (시험관 시작 51일차)
- 1차 피검사, 타이유주사, 약처방
열번째 방문 (시험관 시작 53일차)
- 2차 피검사, 타이유 주사, 약처방
열두번째 방문 (시험관 시작 60일차)
- 아기집 확인 (초음파), 타이유 주사, 약처방
열세번째 방문 (시험관 시작 67일차)
- 난황 및 태아 확인 (초음파), 타이유 주사, 약처방
열네번째 방문 (시험관 시작 74일차)
- 심장소리 확인 (초음파), 약처방, 산전검사
열다섯번째 방문 (시험관 시작 82일차)
- 초음파, 산전검사 결과 확인, 약처방
열여섯번째 방문 (시험관 시작 95일차)
- 초음파, 니프티검사 (지놈)
1. 지난 2주일!
시험관 과정 중에 거의 매주 1회, 많게는 2회 병원을 방문하다가
임신 8주차에 들어서니 2주뒤에 검진이 잡혔다.
다행히 이전보다 입덧 증상은 나아져서
하루에 트름 200번할거 50번 정도로 줄어든 것 같아 다행이었다.
대신 양치할때 괴로움은 심해진듯 ㅠㅠㅠ
양치하다가 토를 두번했다.
그치만 정말정말 좋은건, 질정 투약이 끝났다는 점..!
드뎌 질정알람 지옥에서 벗어나 자유의 몸이 되었다ㅠㅠㅠㅠㅠㅠㅠ
익숙해질대로 익숙해졌지만, 끊으니 너무 행복...!
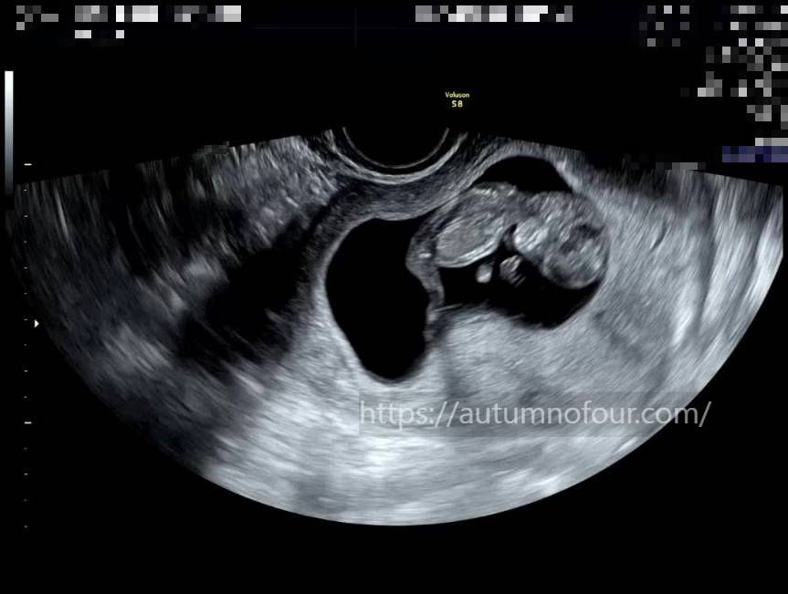
2. 10주차 검진날
오늘은 남편도 함께.
초음파를 보는데 억?? 소리가 나왔다
고새 어떻게 이렇게 많이 큰거지??????


지난번엔 팔과 다리가 정말 젤리곰 같이 찔끔(?) 나와있었는데
아주 쭈-------욱 하고 늘어나있었고,
그 덕분인지 꼬물꼬물 움직이는게 정말 잘 보였다.
손가락도 보이고, 사람형태가 된 44MM 아가 ㅋㅋㅋㅋㅋ
3. 니프티 검사
오늘은 검진을 완료하고, 10주차기 되어 니프티 검사를 진행하기로 했다.
기본검사와 좀 더 상세한 검사비용이 10만원 차이여서, 그냥 좀 더 상세한 결과를 받아보기로 했다.
니프티 검사는 매우 간단했다.
유산경험은 있는지, 초산인지, 키, 몸무게 등등 기타 정보들을 작성하고 채혈실에가서 피 한 통 뽑으면 끝!
결과는 2주 뒤에 나온다고 하고,
2주 뒤인 12주차에는 좀 더 자세히 초음파를 볼 수 있는 린여성병원에 먼저 방문해서
1차 기형아 검사, 투명대 검사 등등을 할 예정이라고 한다.
그리고나서 다시 삼신아이플래닛으로 돌아와 송원장님과 진료를 보기로 했다.
아마 니프티 검사에 대해서 자세히 설명해주시려는 듯!
결과와 더불어 드디어 성별을 알 수 있게 될 2주 뒤...두둥
ㅋㅋㅋㅋㅋㅋㅋㅋㅋㅋ
긴 2주가 될 것 같다.
13시 30분 병원 IN (13시50분예약) → 접수 → 진료 → 채혈실 → 수납 → 14시 10분 OUT
비용
| 진료 및 피검사 | 91,700 | |
| 약국 | 12,100 | 페마라, 항생제3일분 |
| 히코시 | 219,000 | |
| 남성검사 | 50,000 | |
| 검사지비원(여) | -130,000 | 계좌입금 |
| 검사비지원(남) | -50,000 | 계좌입금 |
| 신선배아 지원금 (1차) | 1,100,000 | 차감 |
| 진료/초음파/피검사/심전도검사/약품비 | 28,090 | 고날에프900IU |
| 영양제 | 130,000 | 남녀 1개월분 |
| 진료/초음파/추가약품 | 8,270 | 고날에프 900IU, 세트로타이드 3회분 |
| 진료/초음파/채혈/추가약품 | 57,460 | 고날에프 450IU, 세트로타이드 3회분, 오비드렐 1회분, 데카펩틸 1회 |
| 약국 | 4,100 | 항생제6회분 |
| 난자채취 | 52,500 | |
| 정자채취 | 38,600 | |
| 배아동결 | 563,430 | 5일배아 4개, 6일배아 1개 |
| 아르기닌 | 70,000 | 1일 2포, 30일분 |
| 동결배아 지원금 (1차) | 500,000 | 차감 |
| 진료/초음파/채혈/주사 | 15,970 | 에스트로겐 주사 |
| 약국 | 36,310 | 프로기노바 60정, 아스피린 30정, 맥시그라 7정 |
| 진료/초음파/채혈/주사 | 61,930 | 아르기닌 수액 |
| 약국 | 83,780 | 사이클로제스트질좌제 10정, 듀파스톤 10정, 소론도 30정 |
| 이식/주사/진료 | 104,850 | |
| 약국 | 169,350 | 사이클로제스트질좌제 20정, 듀파스톤 20정 |
| 진료/채혈/타이유주사 | 1,110 | |
| 약국 | 13,000 | 사이클로제스트질좌제 2정 |
| 진료/채혈/타이유주사 | 1,010 | |
| 약국 | 120,520 | 사이클로제스트질좌제 14정, 듀파스톤 14정 |
| 진료/초음파/타이유주사 | 63,930 | 예나트론질정 (14정) 포함 |
| 약국 | 31,680 | 듀파스톤 14정 |
| 진료/초음파/타이유주사 | 70,100 | 예나트론질정 (14정) 포함 / / 바우처사용 |
| 약국 | 29,520 | 듀파스톤 14정 |
| 진료/초음파/채혈/예나트론처방 | 242,100 | 마미톡3만원&예나트론질정 (16정) 포함 / / 바우처사용 |
| 영양제구입 | 55,000 | 임신초기용 |
| 진료/초음파/예나트론처방 | 116,900 | 예나트론질정 (20정) 포함 / 바우처 사용 |
| 약국 | 7,500 | 입덧약 7일치(1일2정) |
| 니프티 | 600,000 | 10만원 바우처사용, 50만원 서울시지원금 신청예정 |
| 진료/초음파 | 41,700 | 바우처 사용 |
※ 국민행복바우처 : 100만원 (차감방식)
'나의_하루 > 난임일기' 카테고리의 다른 글
| [회사원의난임일기16] 8주차, 팔다리가 쏘옥 젤리곰 태아 확인 (시험관 과정 및 비용상세) (1) | 2026.04.07 |
|---|---|
| [회사원의난임일기15] 7주차, 콩닥콩닥 심장소리 듣는 날 (시험관 과정 및 비용상세) (0) | 2026.03.27 |
| [회사원의난임일기14] 다이아몬드 (난황&태아) 확인, 6주차 난임병원방문 (시험관 과정 및 비용상세) (0) | 2026.03.23 |
| [회사원의난임일기13] 시험관 아기집 확인 완료! (+삼신신아이플래닛 진행 과정 및 비용 총정리) (0) | 2026.03.10 |
| [회사원의난임일기12] 동결이식1차 이식 후 일상 & 1차,2차 피검사 결과 두둥! (+비용상세) (0) | 2026.03.03 |